

















Я пошла в поликлинику с острой зубной болью. Мне запломбировали каналы и поставили временную пломбу, я сильно заболела и поэтому долго с ней проходила. Сейчас пошла в платную поликлинику долечивать этот зуб. Сделали снимок, сказали, что каналы были плохо запломбированы и что там началось воспаление корней. Внешне нет никаких опухолей. Сказали удалять зуб.
Возможно ли сохранить зуб?
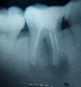
Пожалуй, соглашусь с докторами из второй клиники.
На одном из корней имеется большой очаг воспаления, а также не совсем понятна ситуация в месте бифуркации (раздвоении) корней.
Зуб придется удалить.
Стоматолог-имплантолог, скуловой имплантолог, хирург, челюстно-лицевой хирург
Стаж: 20 лет
Стоматолог-терапевт, детский стоматолог, пародонтолог, эндодонтист
Стаж: 23 года
Стоматолог-терапевт, детский стоматолог, ортодонт
Стаж: 14 лет