

















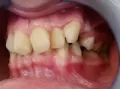
Мне 18 лет. Две недели назад заметила, что вверху за правым клыком растет зуб. Была в ужасе, ведь все зубы молочные у меня выпали. Сделала панорамный снимок, посоветовали вытягивать ретинированный зуб. Но врачи не смогли определиться какой зуб - молочный клык или резец.
Возможно ли вытянуть клык, который стоит напротив резца и расположен на расстоянии более 1 см от своего места в зубном ряду?
Ретенированный зуб можно вытянуть с помощью брекет-системы, а также не исключено, что он прорежется самостоятельно. И его останется установить на свое место.
По снимку данный зуб - постоянный клык.
Стоматолог-имплантолог, скуловой имплантолог, хирург, челюстно-лицевой хирург
Стаж: 20 лет
Стоматолог-терапевт, детский стоматолог, пародонтолог, эндодонтист
Стаж: 23 года
Стоматолог-терапевт, детский стоматолог, ортодонт
Стаж: 14 лет