🔥 Имплантация за 3750 ₽/мес.

Возможна ли имплантация при пародонтозе?

Кирилл Антонович3 декабря 2013 г.

Здравствуйте! Мне 57 лет, 20 лет назад врач поставил мне диагноз пародонтоз. Сейчас у меня осталось совсем немного зубов, а состояние полости рта только ухудшается! Слышал об имплантации зубов, буду признателен, если Вы мне объясните, в чем суть данной процедуры и сможет ли она мне помочь?

Эксперт topdent
5.0
268 отзывов
Стоматолог-ортопед Стаж: 21 год

Добрый день!

Пародонтоз характеризуется отсутствием расшатанности зуба, десневых карманов, признаков воспаления (гиперемия, гной), незначительное количество зубных отложений. Расшатанность зуба наблюдается только при тяжелой стадии, когда корни зуба видно наполовину. Встречается в 8% случаев всех пациентов.

Полезная статья: Пародонтоз

Думаю заболевание о котором Вы написали, относится к воспалительным, скорее всего это пародонтит.

Пародонтит характеризуется расшатанностью и смещением зубов, кровоточивостью десен, большим количеством зубного налета, наличием зубных карманов (не редко с появлением гноя), неприятным запахом изо рта, воспалением лимфатических подчелюстных узлов.

Подробнее читайте в статье о Пародонтите

Судя по длительности заболевания и Вашему описанию, стадия видимо тяжелая.

Вашем случае возможна имплантация, только не классическая, а базальная имплантация BOI. Это значит, что импланты фиксируются на самом нижнем слое кости – базальном слое. Именно он на 100% при такой степени заболевания сохраниться без изменений, поэтому общему состоянию имплантов ничего не будет угрожать и они прослужат, как говорится, «на века»!

Операция начинается с удаления всех подвижных зубов. Также удаляются и прочищаются все очаги воспаления, для исключения попадания инфекции в оперируемую область. Затем идет моментальная установка в лунки базальных имплантов, и, в заключение, через 3 дня устанавливается металлопластмассовый протез.

У пациентов на тяжелых стадиях пародонтита остается только два вида развития событий: либо потерять все зубы, либо установить импланты.

Вы спросите: «А как же классическое протезирование?», но протезирование исключается потому, что зубы неустойчивы. Протез через некоторое время расшатается и ему просто не на чем будет держаться, так как оставшиеся зубы со временем выпадут. Это достаточно недолговечный процесс. Поэтому, в настоящее время, наилучшим решением станет базальная имплантация зубов.

В заключении, отвечая на Ваш вопрос, советую найти хорошую стоматологическую клинику. Необходимо сделать рентгеновские снимки, чтобы понять степень поражения костной ткани.

Кандидат наук
  • 23 февраля 2017, в 21:35 Проверенный отзыв

    Я бы хотела поставить люминиры (которые делают в США, без обточки зубов) на верхнюю челюсть, но у меня хронический пародонтоз средней степени. Скажите, пожалуйста, возможно ли установить люминиры при средней степени пародонтоза? «Шатаемости» нет, есть только клиновидные дефекты.

  • Люминиры, как и виниры, ультраниры, по сути, являются накладками на зубы, поэтому сами по себе на положение и "шатаемость" зуба не влияют.
  • 25 января 2017, в 1:02 Проверенный отзыв
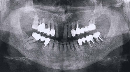
    Ситуация такова: на верхней челюсти выпал передний зуб (пародонтоз). На консультации у стоматолога предложено: удалить оставшиеся три зуба между существующими мостами и поставить съемный протез. Мало костной ткани. Но мне нужна несъемная конструкция. Какие у меня есть методы решения? Мне 56 лет.
    Комментарий №169555
  • Ваше желание иметь несъемную конструкцию понятна. После внимательного изучения панорамного снимка и подтверждения пародонтоза можно с уверенностью констатировать, что несъемного метода решения с опорой на имеющиеся Ваши зубы, к великому сожалению, нет. Вам нужна тотальная базальная имплантация или съемное протезирование.
  • 14 декабря 2016, в 17:28 Проверенный отзыв
    Можно ли при пародонтозе установить импланты?
  • При пародонтозе, нередко, костная ткань подвергается резорбции (рассасыванию), что существенно усложняет имплантацию. Ведь для приживления имплантата, а также надежной фиксации его, необходим достаточный объем костной ткани.
  • 27 января 2016, в 14:00 Проверенный отзыв
    Можно ли мне поставить покрывной протез на имплантах, если у меня пародонтоз? Вставить один зуб-имплант мне нельзя, стоматологи сказали, что он будет выталкиваться также, как и обычный. А крепление протеза не будет ли выталкиваться?
  • Я не совсем понял что Вы хотите сделать. Обратитесь на очный приём к хирургу для более конкретного понимания ситуации.
  • 27 января 2016, в 14:00
    Я как раз и хочу понять, какой метод мне подойдет. На странице вашего сайта https://topdent.ru/articles/pokryvnoy-zubnoy-protez.html есть рисунок покрывного протеза и описание. Там сказано, что покрывной протез крепится на корневые аттачмены. Так вот, у меня вопрос в следующем: не вытолкнутся ли эти аттачмены со временем, как мои натуральные зубы, которые постепенно выталкиваются читать далее
  • Пародонтоз — отчасти генетическое явление и повлиять на него практически невозможно. Но как правило, имплантация показана таким пациентам, и мы все чаще прибегаем к лечению больных пародонтозом методом искусственных аналогов корней зуба (имплантатами).
  • 6 декабря 2015, в 22:30 Проверенный отзыв
    Какова современная тактика протезирования при пародонтозе? Восстановление зубного ряда на месте утраченных зубов (3 нижних по центру) - мостовидный протез с фиксацией на оставшихся или съемный протез? Оставшиеся зубы живые и целые, но несколько подвижные.
  • Правильный метод восстановления зубов - естественно имплантация, тем более при пародонтозе чрезмерная нагрузка. Мостовидный протез несёт дополнительную нагрузку на зубы, что негативно повлияет на устойчивость зубов. Все абсолютно индивидуально. Обратитесь на очный приём для корректной консультации.

  • 31 июля 2015, в 14:40 Проверенный отзыв
    У меня очень большие проблемы с деснами. Выпал верхний 6 зуб. Рядом зуб в таком же положении. Обратилась к имплатологу за консультацией. Предложили провести операцию по пересадке костной ткани и вставить имплантанты. Вопрос: не выпадут ли имплантанты из-за болезни десен?
  • Вам предложили операцию синус-лифтинг. Все правильно, при недостатке костного объема на верхней челюсти данная манипуляция ― единственный выход. Ничего не выпадет, не переживайте, сегодня данная манипуляция требуется в 70 процентах случаев.
  • 6 января 2015, в 21:27 Проверенный отзыв

    Поставили диагноз пародонтоз, зубы шатаются, на некоторых видны корни. Возможна ли мне имплантация зубов? (обращался в несколько клиник, в одних говорят, что нужно ставить импланты, в других — что смысла от имплантов нет, стоять они не будут) не знаю кому верить.

  • Добрый день. Пародонтоз не является противопоказанием имплантации. Но для более конкретного ответа, или правильнее сказать консультации, необходим тщательный осмотр и анализ по К/Т ( трехмерный снимок). Запишитесь к нам на консультацию и я вам все подробно расскажу.

Вас консультируют