

















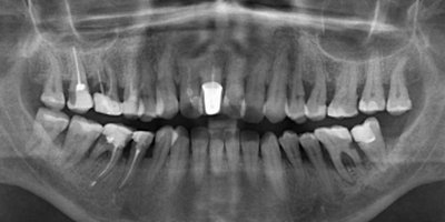
Удален шестой зуб резорциновый. Сделана мной ортопантомограмма. На снимке видно, что костная ткань, где были корни зуба, не восстановилась.
Подскажите, пожалуйста, срок восстановления костной ткани и что может послужить не восстановлению моей костной ткани? Возможна ли в дальнейшем имплантация?
Срок восстановления костной ткани зависит от степени травматичности удаления, но как правило, от 3 - 6 месяцев. Выложите мне снимок, я вам все расскажу.
Стоматолог-имплантолог, скуловой имплантолог, хирург, челюстно-лицевой хирург
Стаж: 20 лет
Стоматолог-терапевт, детский стоматолог, пародонтолог, эндодонтист
Стаж: 23 года
Стоматолог-терапевт, детский стоматолог, ортодонт
Стаж: 14 лет