🔥 Имплантация за 3750 ₽/мес.

Воспалилась слизистая во рту

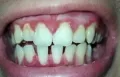
Анастасия3 октября 2015 г.

Здравствуйте, на прошлой неделе я пошла лечить зуб к стоматологу. Он поставил мышьяк. Через несколько дней я пришла снова и доктор сделал временную пломбу, на тот момент у меня была одна язвочка стоматита.

После этого несколько дней я чувствовала, что десны стали воспаляться. Зуб при этом болел. Я полоскала рот Стопангином. Вчера вечером я увидела маленькие белые пупырышки на внутренней стороне губы. Утром все воспалилось намного сильнее, болело так, как будто рот наждаком теряли. В обед я пошла к стоматологу на прием и он отвел меня к парадонтологу. Осмотрев рот она сказала, что у меня аллергия и ожег от СтопангинА. Выписала полоскание ромашкой, метирулацил мешать с облепиховым маслом на бинт и пол часа держать на пораженных участках и цитрат. Но вечером боль ухудшилась и пупырышки и краснота расползлись по всему рту, кончик языка, под языком, внутренняя стороны верхней и нижней губ. Боль усиливается и обезбаливающие не помогаю, увеличились лимфоузлы под челюстью, чувствую слабость.

Что это может быть и что добавить к лечению? Сил уже нет терпеть эту боль, а у меня маленький ребенок.

Воспалилась слизистая во рту
Эксперт topdent
5.0
38 отзывов
Стоматолог-терапевт, детский стоматолог, пародонтолог, эндодонтист Стаж: 23 года

Продолжайте лечение, ничего больше добавлять не нужно .Сразу все не пройдет , необходимо некоторое время. Через пару дней покажитесь лечащему врачу.

Статьи по теме

  • 3 мая 2023, в 22:19 Проверенный отзыв
    Если не мазать слизистую. Что будет?
  • 3 мая 2023, в 22:19
    Слизистая восстановится самостоятельно, но на это уйдет больше времени.
  • 17 октября 2020, в 8:07 Проверенный отзыв
    У меня опухло верхнее небо за передними зубами и побаливает, как будто ошпарила, хотя горячего не пью ничего. Была у стоматолога, сказала механическое воздействие. Что это? Как лечить?
    Комментарий №180076
  • Если это состояние не проходит более трех дней, то следует обратиться к гастроэнтерологу, эндокринологу и аллергологу для оценки состояния организма по системам.
  • 27 июня 2020, в 21:42 Проверенный отзыв
    У меня воспаление десен, гнойники во рту и горле, высокая температура. Что это может быть и чем лечить?
    Комментарий №179740 Комментарий №179740
  • Это хронический тонзиллит. Вам необходимо обратиться к оториноларингологу для подбора препаратов, а также промывание миндалин (Тонзиллор и Фонофорез), а после стабилизации состояния миндалин необходимо обратиться к стоматологу-терапевту для проведения профессиональной гигиены полости рта и выяснения причины рецессии.
  • 27 декабря 2019, в 16:12 Проверенный отзыв
    В верхней полости рта, где два желтых пятна, болят сильно. Эти пятна маленькие. Что это может быть?
  • Без осмотра невозможно сказать о причине этого образования (эрозия/язва). Необходима очная консультация врача стоматолога. Возможно, что это стоматит. Необходимо на время отказаться от агрессивной пищи (кислой, острой, твёрдой, чересчур горячей или холодной), а также часто полоскать полость рта антисептиком (Хлоргексидин, Мирамистин, отваром ромашки). Можно обрабатывать это об читать далее
  • 20 ноября 2019, в 18:42 Проверенный отзыв
    Стоит ли переживать из-за непонятных новообразований во рту? Что это такое?
    Комментарий №178469
  • Рекомендуем Вам обратиться к стоматологу-хирургу. Возможно это экзостоз, но необходимо исключить патологию.
  • 14 февраля 2019, в 13:15 Проверенный отзыв
    Мне 20 лет. Я курю. Недавно на слизистой полости рта появились непонятные образования. Что это может быть? Это похоже на лейкоплакию?
    Комментарий №175868 Комментарий №175868
  • На фото не визуализируются изменения, характерные для лейкоплакии. Слизистая-оболочка нормального бледно-розового цвета. Линия на щеке, соответствует линии смыкания зубных рядов, её отпечатывание довольно частое явление даже в норме и может быть обусловлено незначительной отечностью слизистой оболочки полости рта, например, вследствие приема кислой или соленой пищи. Однако от читать далее
  • 3 мая 2017, в 21:50 Проверенный отзыв
    Что это и как вылечить?
    Комментарий №170268
  • Вероятнее всего у вас стоматит. Для скорейшего заживления в первую очередь Вам следует соблюдать определенную диету. Необходимо исключить употребление жареных, острых и горячих продуктов, а так же алкогольных напитков и цитрусовых. После еды прополоскать полость рта раствором «Хлоргексидин» 0,05 %, мазь «Камистад» (не более 5 раз в день). Рекомендую так же проводить апплика читать далее
  • 5 марта 2017, в 7:04 Проверенный отзыв
    Пару дней назад воспалилось нёбо и на нем появились язвы. Очень мешают кушать, болят, реагируют на кислое/солёное. Пробовала полоскать содой, уходит белый налёт, но на утро опять появляется. Что это может быть?
    Комментарий №171459 Комментарий №171459
  • Это похоже на стоматит. Полощите «Хлоргексидин», тщательно убрав налет из язвы стерильным бинтом, наносите «Солкосерил». Курс 7 дней.
  • 3 октября 2015, в 18:48 Проверенный отзыв
    Извините, что снова вам пишу, но у меня изменился диагноз - герпетический стоматит. Врач назначил ацикловир в таблетках пить 4 раза в день по одной и мазать холисалом. У меня очень много афточек, весь рот ими покрыт. Достаточно ли этих препаратов?
  • Да, данные препараты вполне достаточны для лечения.
  • 3 октября 2015, в 18:43 Проверенный отзыв
    А подскажите пожалуйста, почему область поражения увеличилась в два раза? И, еще, от самого стоматита что-то надо применять.
  • Скорее всего, прогрессирует воспаление, лечение не сразу подействует. От стоматита хорошо помогает дентальная паста солкосерил Дента.
Вас консультируют