

















3-й день болят 6 и 7 зубы (правые нижние), воспалился правый шейный нижний лимфоузел (уже был такой случай, пропив 2 дня антибиотик, боль ушла, лимфоузел успокоился). Сразу первая мысль: простудился опять и вызвал тем самым боль в зубах, так как на шестерке стоит коронка, а на семерке лечили кариес без удаления нервов. Пропив 3 дня антибиотик, без улучшения, побежал в дежурную стоматологию 24 часа.
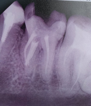
Сделали снимок, на снимке оказалось, что под семеркой на удалении 5 мм от корней потемнение (воспаление) размером 5 мм на 4 мм. Врач советует, что лучшим вариантом будет удаление зуба и установка импланта, так как лечение только будет дороже из-за того, что корень зуба изогнут и очень сложно выполнить чистку каналов (сейчас пролечим, а через полгода опять будет воспаление).
Могут ли быть воспаления ниже корней зубов? Чем могут быть вызваны такие воспаления? И правда ли, что единственным приемлемым решением будет удаление зуба?
Конкретно дать рекомендации по удалению я не могу пока не увижу снимок.
Стоматолог-имплантолог, скуловой имплантолог, хирург, челюстно-лицевой хирург
Стаж: 20 лет
Стоматолог-терапевт, детский стоматолог, пародонтолог, эндодонтист
Стаж: 23 года
Стоматолог-терапевт, детский стоматолог, ортодонт
Стаж: 14 лет