

















Неделю назад в пище попался камень. Думала, что откололся зуб, сходила на консультацию к стоматологу. Он сказал, что сколов нет и скорее всего это подвывих. Стараюсь на этой стороне не есть. После приема пищи ломит сторону и верхний ряд и нижний.
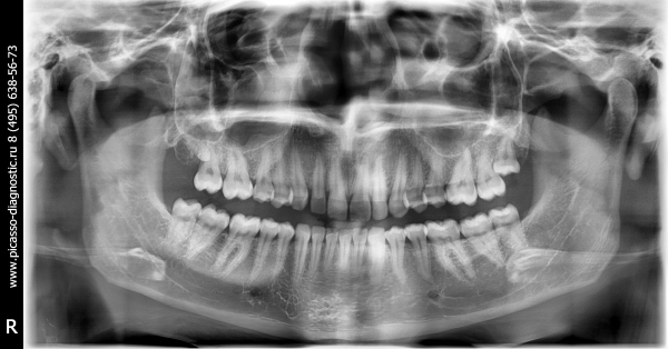
Я сделала ОПТГ. Сейчас нет возможности сходить к доктору.
Видно ли какие-то отклонения от нормы на фото?
По снимку всё нормально.
Старайтесь на этой стороне временно не пережевывать пищу, ограничить нагрузку на пострадавшие зубы. Со временем это позволит ситуации купироваться самостоятельно.
Стоматолог-имплантолог, скуловой имплантолог, хирург, челюстно-лицевой хирург
Стаж: 20 лет
Стоматолог-терапевт, детский стоматолог, пародонтолог, эндодонтист
Стаж: 23 года
Стоматолог-терапевт, детский стоматолог, ортодонт
Стаж: 14 лет