

















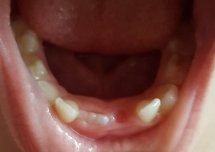
Столкнулась с такой проблемой. У меня режется последний зуб в нижнем ряду, режется неудачно, упираясь боком в восьмерку. Врачи предлагают удалить восьмерку, т.к. режущийся удалить не видят возможным. На мой вопрос, встанет ли он ровно после удаления, отвечают, что возможно.
Соответственно меня тревожит вопрос стоит ли улалять здоровую восьмерку или искать врача, который рискнет выдернуть новый зуб?
Немного не понял Вас, но постараюсь Вам объяснить, что необходимо сделать правильно. Восьмой зуб необходимо однозначно удалить, так как он растет неправильно, ввиду нехватки места в зубном ряду и наносит вред седьмому зубу, который несомненно является важным звеном в жевательной функции организма.
Само по себе ничего не выровняется, чудес не бывает, на это существует такая великая наука, как ортодонтия. Обратитесь к грамотному хирургу на удаление, так как процесс нелегкий и требует определенных навыков. Если потребуется наша помощь, обращайтесь.
Стоматолог-имплантолог, скуловой имплантолог, хирург, челюстно-лицевой хирург
Стаж: 20 лет
Стоматолог-терапевт, детский стоматолог, пародонтолог, эндодонтист
Стаж: 23 года
Стоматолог-терапевт, детский стоматолог, ортодонт
Стаж: 14 лет