

















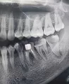
Восьмой зуб вверху вырос в щеку и на нем сейчас есть дырка, наверное, из-за кариеса. Можно вылечить или удалять?
Также на 6 внизу на снимке показано, что есть воспаление (10 лет назад нервы удалены, каналы запломбированы), побаливает при жевании твердой пищи и ноет периодически. Также на некоторых других зубах есть кариес.
С чего начинать лечение?
Восьмые зубы необходимо удалить все, можно оставить только 48, он стоит в зубном ряду и не создаёт скученность, и не страдает соседняя семерка. Во всех трёх остальных случаях Ваши зубы мудрости необходимо удалить как можно раньше.
На обеих нижних шестёрках имеется хронический воспалительный процесс обширных размеров, и если Вы незамедлительно не займётесь лечением, то вскоре мы получим капсулированную кисту, и как следствие, удаление.
Также много проблем, связанных с неправильным контактом между зубами.
Последовательность лечения неважна, главное оперативно начинать лечение.
Стоматолог-имплантолог, скуловой имплантолог, хирург, челюстно-лицевой хирург
Стаж: 20 лет
Стоматолог-терапевт, детский стоматолог, пародонтолог, эндодонтист
Стаж: 23 года
Стоматолог-терапевт, детский стоматолог, ортодонт
Стаж: 14 лет