

















Добрый день.
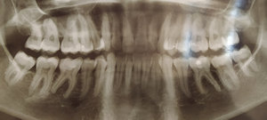
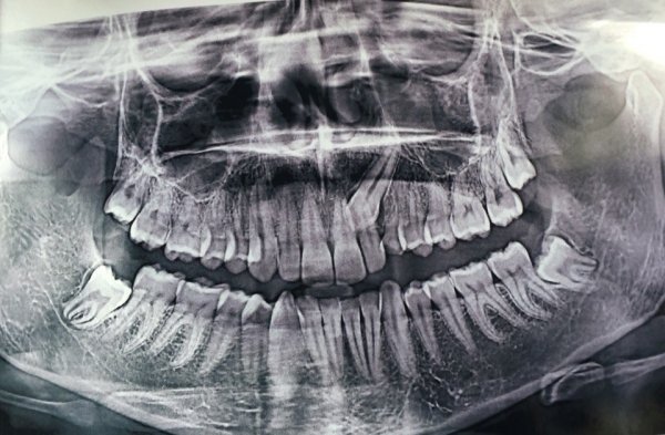
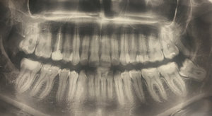
Для установления брекетов врач мне рекомендует удалить верхнюю справа четверку, чтобы поставить на ее место клык, и нижний второй резец справа, аргументируя тем, что так будет быстрее идти лечение, по словам врача корень у этого резца оголен и подвижен (хотя я не чувствую, чтобы он шевелился) и, что все равно в дальнейшем этот зуб я потеряю (и никто, кроме стоматологов не будет замечать, что резцов нижних у меня 3, вместо 4х).
Правда ли то, что этот зуб (резец второй) не здоров? И лучше удалить его, а не 4 нижнюю справа?
Разве нагрузка будет правильно распределена, если справа внизу останется два премоляра, а вверху один?
По снимку невозможно диагностировать подвижность зуба. Существует методика, при которой возможно удаление и всех восьмых зубов, и, если потребуется, четверок.
В вашем случае Вам необходимо придерживаться рекомендациям доктора, для большей уверенности обратитесь к альтернативному мнению ортодонта или приезжайте к нам, мы посмотрим.
Стоматолог-имплантолог, скуловой имплантолог, хирург, челюстно-лицевой хирург
Стаж: 20 лет
Стоматолог-терапевт, детский стоматолог, пародонтолог, эндодонтист
Стаж: 23 года
Стоматолог-терапевт, детский стоматолог, ортодонт
Стаж: 14 лет