

















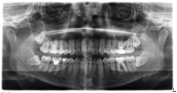
Образовался флюс, открыли канал, рассекли десну, выпустили гной, поставили дренаж, назначили полоскание содой. Прошло пять дней. Прихожу к доктору, ковырнула иголкой в зубе, не болит. Сказала, у вас киста, надо делать операцию. Не поверил, сходил в другую клинику, сделали снимок, посмотрели, говорит доктор, нету там никакой кисты. Пошел в третью клинику, показал снимок, показал зуб - прочистили, промыли, кисты не нашли.
Что делать, кому верить?
Кисты, конечно, тут нет, но обширное воспаление и, как следствие, обострение периодонтита, наблюдается. Данную проблему можно разрешить консервативным методом лечения, то есть через канал. Обратитесь к грамотному терапевту.
Стоматолог-имплантолог, скуловой имплантолог, хирург, челюстно-лицевой хирург
Стаж: 20 лет
Стоматолог-терапевт, детский стоматолог, пародонтолог, эндодонтист
Стаж: 23 года
Стоматолог-терапевт, детский стоматолог, ортодонт
Стаж: 14 лет