

















Здравствуйте. Подскажите мне что с десной, причины и последствия.
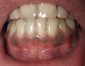
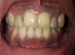
Между зубами пропала десна и у основания зуба появилась незначительная чернота, с соседним зубом начинает происходить тоже самое, зубы не шатаются. Что это может быть? Пародонтоз это или нет?
Добрый день. Скорее всего да, пародонтоз. Сегодня большая масса наших граждан страдает от данного недуга. По поводу черноты, скорее всего это кариозное отложение, которое способствует оголению зуба и повреждения эмали.
Обратитесь к врачу на очный прием, и при тщательном осмотре доктора сделают заключение, а также составят план лечения.
Всего вам доброго!
Стоматолог-имплантолог, скуловой имплантолог, хирург, челюстно-лицевой хирург
Стаж: 20 лет
Стоматолог-терапевт, детский стоматолог, пародонтолог, эндодонтист
Стаж: 23 года
Стоматолог-терапевт, детский стоматолог, ортодонт
Стаж: 14 лет