

















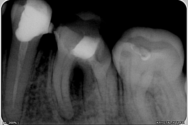
Беспокоят 2 зуба, точнее то, что один из них жевательная шестерка снизу сломалась, а на противоположной стороне отлетела пломба. По снимкам, один врач предложил удалить оба зуба, и поставить мосты. Другой врач предложил удалить только с одной стороны (36), а на другой (46) надеть коронку, но там у меня свищ.
Стоит ли удалять оба зуба?
Вам предстоит удаление и 3.6 и 4.6 зубов.
Нецелесообразно вкладывать деньги в зуб, в котором повсюду воспаление. Ни один врач, который вам действительно захочет помочь, не наденет на него коронку.
Лучше направьте Ваши средства в протезирование или имплантацию.
Стоматолог-имплантолог, скуловой имплантолог, хирург, челюстно-лицевой хирург
Стаж: 20 лет
Стоматолог-терапевт, детский стоматолог, пародонтолог, эндодонтист
Стаж: 23 года
Стоматолог-терапевт, детский стоматолог, ортодонт
Стаж: 14 лет