

















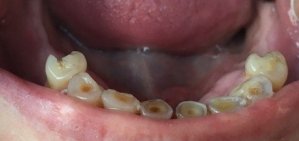
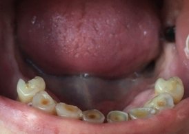
Здравствуйте. Меня мучает зубная боль. Очень давно, еще в детской стоматологии, мне поставили 2 пломбы на 6оках нижней челюсти. Пломбы почти терлись, и один зуб стал болеть. Скажите, как можно это поправить замена пломбы? Сколько это займет времени? Насколько больно? Есть ли вариант анестезии, чтобы совсем ничего не чувствовать? Спасибо.
Добрый день, уважаемая Анастасия Андреевна. Сегодняшняя современная стоматология абсолютно безболезненна. В вашем случае (при стираемости зубов), возможно, пломбой обойтись не удасться, возможно, придется депульпировать зуб. Данное лечение проводится в два посещения.
Для более точного диагноза необходимо обратиться на очный прием. Запишитесь к нам на прием, и мы обязательно вам поможем.
Всего доброго.
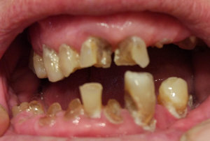
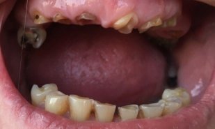
Здравствуйте доктор, у меня такая проблема — стерлась эмаль на зубах. Не на всех, слава богу — на двух передних. На одном у самой десны, а на втором, примерно на пол зуба. Пробовала разные пасты — не особо помогают. В нашем городке стоматологи работают еще советскими методами и ничего толком кроме пломбы предложить не могут.
Стоматолог-имплантолог, скуловой имплантолог, хирург, челюстно-лицевой хирург
Стаж: 20 лет
Стоматолог-терапевт, детский стоматолог, пародонтолог, эндодонтист
Стаж: 23 года
Стоматолог-терапевт, детский стоматолог, ортодонт
Стаж: 14 лет