

















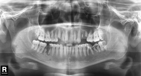
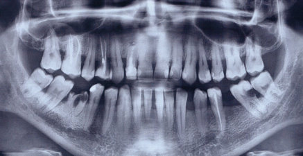
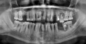
Здравствуйте! Хотелось бы получить общую консультацию по снимку. Очень плохие зубы с детства, постоянно беспокоят и просто разрушаются. Хотелось бы понять — есть возможность спасти хотя бы корни большинства зубов? Существуют ли вообще очень серьезные проблемы?
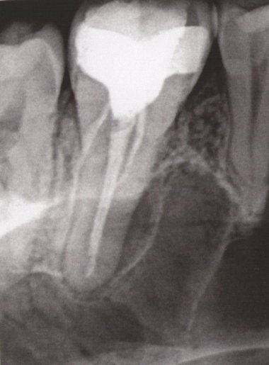
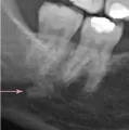
Добрый день. Особых проблем я не вижу, уважаемый пациент. 4.7 зуб необходимо тщательно осмотреть на предмет пригодных тканей для последующего восстановления вкладкой и коронкой, на 4.6 также есть воспаление на верхушке корня, все также необходимо пролечить затем изготовить культевую вкладку и коронку, 3.6 необходимо перелечить, плохая некачественная пломбировка, а также большая по площади пломба, при неблагоприятном исходе может привести к сколу стенки, что в последствии также к потере зуба, 2.6 скорее всего удалится, но еще раз стоит сделать ревизию, 1.6 необходимо перелечить.
Уважаемая Мария, этот снимок немного не информативный, множество наложений и теней. Я вам рекомендую приехать на очный прием и я вам все подробно расскажу.
Всего вам доброго!
Стоматолог-имплантолог, скуловой имплантолог, хирург, челюстно-лицевой хирург
Стаж: 20 лет
Стоматолог-терапевт, детский стоматолог, пародонтолог, эндодонтист
Стаж: 23 года
Стоматолог-терапевт, детский стоматолог, ортодонт
Стаж: 14 лет