

















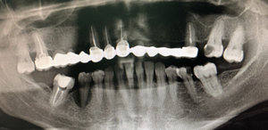
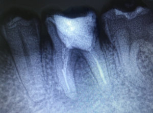
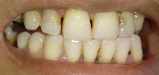
4 месяца назад мне сделали вкладку на предпоследний зуб нижней челюсти, при этом рядом стоящий ближний зуб удалили, т.к. было нагноение на десне. Я не сделала коронку на один зуб, т.к. хотела закрыть просвет и от недостающего зуба. Но и стачивать ближний зуб (здоровый) мне не хотелось. На дорогой имплант средств не нашлось. Сейчас зуб со вкладкой стал побаливать и на десне снова появилось нагноение. Из-за чего это произошло и что мне теперь делать? Явилось ли моё промедление результатом нагноения или это могло произойти и под коронкой?
Добрый день . Конечно это произошло бы и под коронкой, так что не мучайте себя. Дело в самих каналах, вернее в плохо пролеченных каналах, что повлекло обострение воспалительного процесса.
Одним словом вам необходимо к врачу и как можно раньше и постараться спасти зуб.
Всего вам доброго!
Стоматолог-имплантолог, скуловой имплантолог, хирург, челюстно-лицевой хирург
Стаж: 20 лет
Стоматолог-терапевт, детский стоматолог, пародонтолог, эндодонтист
Стаж: 23 года
Стоматолог-терапевт, детский стоматолог, ортодонт
Стаж: 14 лет