

















Вот уже несколько дней меня беспокоит неприятная боль двух нижних зубов.
Решил сходить к своему стоматологу. Он осмотрел и, не найдя видимых проблем, отправил делать рентген.
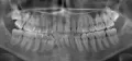
Сделав рентген, врач сказал, что требуется вмешательство стоматолога-хирурга. Так как 8-й зуб уперся в 7-й и именно это является причиной боли. С этим я с ним согласен. Но он сказал, что рано или поздно придется делать операцию и удалять 8-й зуб, так как он сам не прорастет. И главное он говорил, так как будто нет шансов, что зуб сам сможет прорасти.
Неужели действительно один путь - операция?
Действительно, Ваш зуб самостоятельно прорезаться не может, потому что он "лежит" по направлению к 7-му зубу, самостоятельно он может двигаться только в сторону 7-го.
Предстоит операция, но это операция не в широком смысле этого слова.
Под местной анестезией врач стоматолог-хирург вскроет участок костной ткани (создаст своеобразное окошко в области 8-го зуба) и достанет его.
Стоматолог-имплантолог, скуловой имплантолог, хирург, челюстно-лицевой хирург
Стаж: 20 лет
Стоматолог-терапевт, детский стоматолог, пародонтолог, эндодонтист
Стаж: 23 года
Стоматолог-терапевт, детский стоматолог, ортодонт
Стаж: 14 лет