

















Мне удалили нерв и при чистке канала сломался инструмент. На следующий день у меня опухла щека в нижней части. Не десна, а именно щека. При прикосновении к щеке чувствовалась боль. Я позвонила врачу. Мне сказали сделать снимок и подъехать. На снимке увидела, что в канале оставили часть инструмента. Врач сказала, что ничего страшного. Запломбирует и будет все хорошо. На данный момент у меня временная пломба. И после чистки канала какое-то лекарство капала мне в зуб. Заходила еще в одну клинику. Там сказали срочно удалять зуб. Весь день плачу.
Что же делать? Оставлять и пломбировать или удалить зуб?
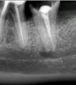
Зуб и в правду следует удалять. На фотоснимке видна перфорация корня инструментом. Никакое консервативное лечение не даст уверенную гарантию на этот зуб. Так что зуб рекомендовано удалять.
Стоматолог-имплантолог, скуловой имплантолог, хирург, челюстно-лицевой хирург
Стаж: 20 лет
Стоматолог-терапевт, детский стоматолог, пародонтолог, эндодонтист
Стаж: 23 года
Стоматолог-терапевт, детский стоматолог, ортодонт
Стаж: 14 лет