

















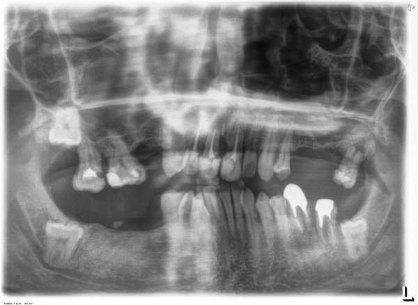
У моего знакомого по тем или иным причинам выпали зубы, и их всего осталось двенадцать. И по этому поводу у меня несколько вопросов.
Сколько примерно будет стоить вставить зубы, приблизительно хотя бы? Просто сколько я ни смотрел на расценки на различных сайтах, не пойму, как и из чего складывается цена на зуб или на зубы в целом. Будет ли дешевле вставить несколько зубов сразу, чем по отдельности через какой-то период времени?
Мы сейчас с вами ведем переписку слегка абстрактную, так как ни я, ни вы не знаем точную информацию и диагноз. Что вы имеете в виду под словом "вставить": имплантацию либо мостовидное протезирование"? Для имплантации необходимо планирование, исследование костной ткани и еще куча факторов. Для протезирования мостовидными протезами также, необходимо понимать картину и возможность данного метода. Хочу также ответить, что невозможного ничего нет, все зависит от ваших желаний, показаний и, естественно, финансовых возможностей.
Стоматолог-имплантолог, скуловой имплантолог, хирург, челюстно-лицевой хирург
Стаж: 20 лет
Стоматолог-терапевт, детский стоматолог, пародонтолог, эндодонтист
Стаж: 23 года
Стоматолог-терапевт, детский стоматолог, ортодонт
Стаж: 14 лет