

















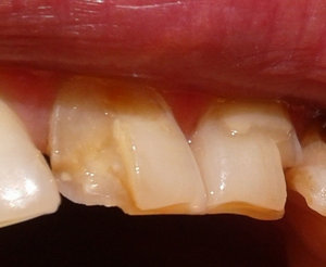
У меня скол двух передних зубов наполовину. Сейчас стоят пломбы, но своя часть зуба пожелтела, можно ли поставить виниры или только коронки?
Добрый день. Естественно можно, если показания подходящие, вам необходимо обратиться на очный осмотр для составления плана лечения.
Всего вам доброго!
Стоматолог-имплантолог, скуловой имплантолог, хирург, челюстно-лицевой хирург
Стаж: 20 лет
Стоматолог-терапевт, детский стоматолог, пародонтолог, эндодонтист
Стаж: 23 года
Стоматолог-терапевт, детский стоматолог, ортодонт
Стаж: 14 лет