

















Пломбировали шестерку форфенаном и пропустили 1 изогнутый канал. Что делать, сложно ли перепломбировать гуттаперчей и стоит ли вообще сразу перепломбировывать?
Десны чешутся и зуб дико при накусывании болит четыре дня уже. Мне 26, не хотелось бы портить себе улыбку.
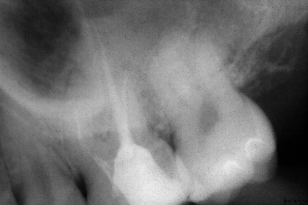
Еще вопрос: есть ли развитие периодонтита на 1 корне?
Конечно есть, обратите внимание на затемнение. Срочно обратитесь к грамотному терапевту, и пломбируйте каналы современными и качественными материалами.
Стоматолог-имплантолог, скуловой имплантолог, хирург, челюстно-лицевой хирург
Стаж: 20 лет
Стоматолог-терапевт, детский стоматолог, пародонтолог, эндодонтист
Стаж: 23 года
Стоматолог-терапевт, детский стоматолог, ортодонт
Стаж: 14 лет