

















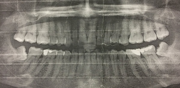
Добрый день! Моей дочери 16 лет. Лечимся несколько лет у ортопеда, исправляем прикус. Сделали контрольную ортоптограмму и доктор сказала, что нужно удалять восьмерки нижние, хотя они еще и не прорезались. Скажите в нашем случае это обязательно, или хотя бы можно подождать пока они наружу вылезут? И насколько это тяжелая процедура?
Да, скорее всего это обязательно, и процедура не из легких. Но я вам рекомендую не тянуть. Данные зубы в вашем случае являются причиной скученности зубов.
Я вам рекомендую записаться к нам на прием, и обязательно к дипломированному хирургу. Данное удаление считается очень сложным и проводить должен обязательно челюстно-лицевой хирург, чтобы избежать проблем впоследствии.
Стоматолог-имплантолог, скуловой имплантолог, хирург, челюстно-лицевой хирург
Стаж: 20 лет
Стоматолог-терапевт, детский стоматолог, пародонтолог, эндодонтист
Стаж: 23 года
Стоматолог-терапевт, детский стоматолог, ортодонт
Стаж: 14 лет