🔥 Имплантация за 3750 ₽/мес.

Предстоит удаление восьмерки. Какие могут быть последствия?

Лия23 июня 2016 г.

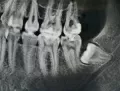
Третий день болит зуб, усиливается боль по ночам и в положении лежа. При накусывании боли нет. При пальпации десен боли нет. Реакция на холодное ― боль усиливается, потом стихает. При этом холодный компресс на щеку со стороны больного зуба боль снижает.

Боль в районе 7 и 8 зуба на нижней челюсти. 7-ка пролечена 6 лет назад, поставлена кальциевая прокладка, зуб не депульпирован. 8-ка имеет кариес. Боль также при пальпации под челюстью чувствуется. При этом боль не острая, а ноющая, тянущая, распирающая. Не стреляет.

Вчера была у стоматолога. Предположение ― пульпит 8-ки, нужно удаление. Это первый коренной зуб, который предстоит удалить. Большой страх перед этой процедурой. Читала много, боюсь, чтобы не повредили лишнего. Корни 8-ки загнуты. Боюсь, чтоб они не лежали в нервном канале, и при удалении не было проблем.

Прикрепленые фото
Эксперт topdent
5.0
271 отзыв
Стоматолог-ортопед Стаж: 21 год

Хочу сразу успокоить ― корни у нижней восьмерки в канале лежат очень редко, за 25 лет я такого не видел и даже не слышал. А вот корни верхних зубов бывает располагаются в гайморовой пазухе, вот это действительно сложное удаление. Нижние же зубы мудрости сложны в удалении только, если они лежат под костью, полностью заросли, так называемые ретинированные зубы.

Но у Вас, если его смотрел доктор и предположил пульпит, очевидно, что коронковая часть зуба видна. Даже, если корни загнуты, для хирурга-стоматолога ― это ординарная ситуация. Удаление, возможно, будет считаться сложным, но это означает лишь то, что врачу придется приложить чуть больше усилий.

Кандидат наук

Связанные услуги

Статьи по теме

  • 28 октября 2020, в 23:42 Проверенный отзыв
    Нужно удалить правую верхнюю восьмерку, но врачи говорят, что могут быть осложнения и зуб может упасть вверх. Что можно сказать по этому вопросу?
    Комментарий №180126
  • По трехмерному рентгеновскому снимку следует определить взаиморасположение восьмого зуба и гайморовой пазухи.
  • 3 марта 2020, в 15:20 Проверенный отзыв
    Очень боюсь стоматологов с детства. У меня начал болеть зуб мудрости. На протяжении 2-х месяцев я снимал боль обезболивающим Кеторол экспресс. Сейчас решился сходить на сложное удаление зуба. Чего мне стоит ждать? Подействует ли анестезия? Не нанесет ли она какой-то вред здоровью? Как мне быть перед удалением?
  • Сейчас такие обезболивающие, что Вы ничего не будете чувствовать, тем более, если очень боитесь можно удалить под наркозом.
  • 19 февраля 2020, в 3:10 Проверенный отзыв
    Мне предстоит удалять верхний зуб мудрости, и я боюсь за гайморовою пазуху. Возможно ли избежать сложных последствий если сразу принять антибиотики выписанные стоматологом? Всегда ли обязательно зашивают десну после удаления верхних восьмёрок или можно без этого обойтись?
  • Вам необходимо сделать снимок КЛКТ. На нем будет четко видно расположение зуба и близость гайморовых пазух. Если доктор опытный, то для него не составит труда. Лекарства и рекомендации назначаются лечащим врачом. Десну зашивают не всегда, зависит от случая, у всех индивидуально.
  • 3 декабря 2019, в 2:37 Проверенный отзыв
    Только что разболелся, как понимаю нижняя девятка (если такое бывает). Хотел бы уточнить насколько это тяжелый случай для удаления? Нужно ли ложиться в стационар или такое делают под местным наркозом?
    Комментарий №178672
  • Это сверхкомплектный зуб. Сложность сложно определить по КЛКТ. В некоторых стоматологиях проводят удаления без госпитализации.
  • 19 октября 2019, в 2:45 Проверенный отзыв
    Я очень плохо переношу какое-либо вмешательство в зубах. Очень болезненно даже с анестезией. Почему так? Почему врач сначала решил удалить нерв, а потом сам зуб?
  • Если речь идёт об одном зубе, то нам неизвестно какие цели преследует врач. Либо зуб пытаются сохранить и лечат. Либо зуб не нужен в перспективе по показаниям, тогда он подлежит удалению. Рекомендуем обратиться к стоматологу на очный прием для получения независимого мнения.
  • 12 сентября 2019, в 13:50 Проверенный отзыв
    Возможно ли удаление 8-х зубов в обычной стоматологической клинике или необходима консультация ЧЛХ?
    Комментарий №177982
  • Зависит от сложности, но, как правило, в клиниках удаляю восьмые зубы.
  • 29 августа 2019, в 19:32 Проверенный отзыв
    Как в данной ситуации можно удалить 8-й зуб? На сколько травма опасна будет операция?
    Комментарий №177852 Комментарий №177852
  • Удаление возможно под местным или общим обезболиванием. Зависит от противопоказаний. Создаётся доступ к зубу, после чего его извлекают.
  • 26 февраля 2019, в 2:21 Проверенный отзыв
    Что делать с 8-ми? Возможно ли удалить нижнею правую 8-ку, чтобы сохранить 7-й зуб? Верхняя правая 8-ка находится высоко, насколько травматично удаление? Возможно ли опустить 8-ку с помощью брекет-системы, чтобы удаление было легче? Возможно ли в таких ситуациях удаление ультразвуком?
    Комментарий №176057
  • 1) Да, удалив нижний восьмой зуб справа Вы сохраните седьмой. Но, так как на дистальной поверхности седьмого зуба имеется кариозный процесс, его обязательно надо будет полечить. 2) Нет, верхний восьмой зуб брекет-системой не опустить из-за его наклона, определить положение зуба можно по трехмерному снимку. Если зуб не расположен частично в гайморовой пазухе, то удаление его читать далее
  • 28 июня 2018, в 18:41 Проверенный отзыв
    Необходимо удалить зуб мудрости. Врач говорит, что корень зуба расположен очень близко от нижнечелюстного нерва. Действительно ли зуб расположен так неудачно и какова вероятность осложнений при удалении зуба?
    Комментарий №173972
  • Да, на ортопантомограмме видно, что канал проходит недалеко, но более детально оценить положение зуба относительно нижнечелюстного канала можно на 3-d снимке. Рекомендуем его сделать, и показать стоматологу-хирургу.
  • 7 декабря 2017, в 2:04 Проверенный отзыв
    У меня растет зуб мудрости, но ему не куда лезть. Он даже не прорезался еще и давит на рядом стоящие зубы, болит челюсть. Предложили удалить зуб, но там надо разрезать десну и от кости вырвать зуб. Эта операция очень тяжелая и как она переносится?
  • Не волнуйтесь. Современная фармакология позволяет производить операцию по удалению зубов мудрости абсолютно безболезненно. Пациент начинает ощущать какие-либо неприятные и болезненные ощущения только после завершения действия анестетика, через несколько часов после процедуры. Хирург-стоматолог в рекомендациях после операции пропишет соответствующее случаю обезболивающее средс читать далее
  • 10 июня 2017, в 1:03 Проверенный отзыв
    Хочу поставить брекеты, но для этого нужно удалить две верхние восьмерки и нижнюю 8-ку слева. Верхние 8-ки еще не прорезались. Придется ли распиливать костную ткань или только делать надрез десны? Насколько данная процедура будет опасной и болезненной? Можно подождать пока они хоть немного прорежутся и этим процедура облегчится?
    Комментарий №171375
  • Да удалять их необходимо, они занимают неправильное положение в толще кости. Только часть зуба, один бугорок, может прорезаться и неизвестно через какой период времени. Зубы мудрости могут долго находиться под десной. Не переживайте, удаление зубов на верхней челюсти менее травматично, менее болезненно, и быстрее, чем зубов на нижней челюсти, так как корни зубов нижней челюст читать далее
Вас консультируют