🔥 Имплантация за 3750 ₽/мес.

Как выбрать правильное лечение гранулемы?

Ирина10 августа 2014 г.

Здравствуйте.

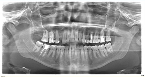
Проблема в следующем: появился свищ между 5 и 6 зубом сверху, сходила на рентген, на снимке видно затемнение корня 6-го зуба. Рентгенолог сказала, что похоже на гранулему. Пошла на консультации к врачам, итог такой — один врач сказал никто не возьмется перелечивать, зуб проще удалить (город маленький, специалистов не так много), хотя пролечено хорошо все. Второй врач сказал, что пролечено плохо, надо все убирать и лечить заново минимум полгода. Третий врач сказал, что есть смысл перелечить только тот канал, над которым гранулема, так как остальное пролечено хорошо...

Так как же мне все таки быть?? Заранее спасибо!

Прикрепленые фото
Эксперт topdent
5.0
3 отзыва
Стоматолог-терапевт, эндодонтист Стаж: 21 год

Добрый день, уважаемый пациент.

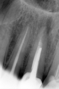
Теоретически, пролечить данное воспаление можно, на это потребуется современное оборудование и ваше терпение, так как данное лечение возможно продлится более 6 месяцев. Смысл лечения данного канала — это закладывание лекарства на верхушку корня, своевременная смена и наблюдение за динамикой. В общем удалять пока не спешите, попробуйте полечить, но вы должны знать, что все абсолютно индивидуально и лечение совершенно не гарантийное.

Перелечивать необходимо все три канала, так как на двух остальных также имеется воспаление. Вам необходимо обратиться к терапевту с хорошими знаниями эндодонтии.

Всего доброго!

Похожие вопросы

Татьяна5 июня 2014 г.
Ноет мертвый зуб, возможна гранулема?

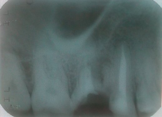
Здравствуйте. Беспокоит 7-ой зуб сверху слева (27). Зуб мертвый уже давно. Ноет, когда ему захочется. Иногда реагирует на температуру. Боль в обоих случаях терпимая, но неприятная. И сразу проходит. Мне его недавно залечили, прочищали каналы, положили туда хороший дорогой препарат, но это не помогло. Еще мне больно жевать что-то твердое. Боль ощущается то ли на этом зубе, то ли в промежутке между 7 и 6. В 1-ой клинике мне сказали, что есть гранулема и ее надо лечить с помощью микроскопа. Во 2-ой клинике мне сказали, что гранулемы нет. Прилагаю снимок. 

Светлана11 января 2014 г.
Пульпит 38ого зуба по Блэку, развились гранулемы

Диагноз - пульпит 38ого зуба по Блэку.

Установлена пломба из полимера. Поставили коронку, возникла боль. На снимке гранулемы в области корня зуба.

Назначены блокады с фурациллином и лидокаином.

По какой причине развились гранулемы?

Статьи по теме

  • 6 ноября 2022, в 17:38 Проверенный отзыв
    Возможно ли при гранулеме верхних 26-го и 27-го зубов образование гнойных выделений на стенке носоглотки? Может ли гной при гранулеме просачиваться в околоносовые пазухи?
  • 6 ноября 2022, в 17:39
    Просачиваться не может, но наличие гранулемы - это очаг хронической инфекции, соответственно он может создавать благоприятные условия для обострения других органов и систем.
  • 31 августа 2018, в 19:44 Проверенный отзыв
    У моего супруга болит 11-й зуб. На нем образовалась кистогранулема. Что нам необходимо сделать? Насколько мы понимаем нам необходимо сделать, резекцию зуба и ретроградно запломбировать?
    Комментарий №174723
  • Необходим осмотр, оценить степень разрушенности коронковой части зуба. Да, по данному рентгеновскому снимку можно сказать, что есть очаг воспаления за верхушкой корня зуба. Сказать точно, что это гранулема (кистогранулема), киста невозможно. Вы правильно сказали, лучшим вариантом лечения будет резекция и ретроградное пломбирование, но нужен осмотр всей полости рта.
  • 5 декабря 2016, в 13:04 Проверенный отзыв
    Обратился в клинику для лечения и восстановления зуба. Но по снимку врач сказал, что там есть гранулема. И рекомендовала удалить зуб. Правильно ли это, или следует обратиться к другому врачу?
    Комментарий №169414
  • На пятом зубе также имеется хронический воспалительный процесс, а 6 зуб, к сожалению необходимо удалить.
  • 30 октября 2016, в 1:13 Проверенный отзыв
    На корне глазного зуба образовалась киста и гранулема. Один врач говорит, что лечить через канал. Другой говорит, за резекцию корня зуба. В канале стоит серебряный штифт.
    Какой вариант лечения выбрать?
  • Если в канале установлен штифт, то его лечению может привести к поломке корня. В этом случае, скорее всего, резекция будет лучшим вариантом. Опять же, все зависит от ситуации. Необходимо посмотреть на рентгене в полости рта.
  • 29 октября 2016, в 21:37 Проверенный отзыв
    На корне глазного зуба кистогранулема, один врач говорит лечить через канал, другой за резекцию корня зуба. В канале стоит серебряный штифт.
  • Если в канале установлен штифт, то его излечение может привести к поломке корня. В этом случае, скорее всего, резекция будет лучшим вариантом. Опять-таки, все зависит от ситуации. Необходимо посмотреть на рентгене и в полости рта.

  • 28 сентября 2016, в 2:00 Проверенный отзыв
    Можно ли пломбировать каналы зуба с гранулемой, если воспаление не прошло, и при прочистке каналов острая боль? Зуб мудрости при постукивании тоже болит, есть ли в нем воспаление?
    Комментарий №169176 Комментарий №169176
  • Данный зуб ещё необходимо долго и упорно лечить, следов качественного лечения я не наблюдаю. Восьмой зуб также имеет воспаление, но его лечение нецелесообразно. Запишитесь на приём к доктору Матевосян С.С.
  • 18 июля 2015, в 2:01 Проверенный отзыв
    Месяц назад была гранулема переднего зуба. Вытащили старую пломбу, положили лекарство. Хожу с ним сейчас. Заметила, что зуб стал немного шататься. Стоматолог выйдет только в середине августа. С чем это может быть связано, и как укрепить зуб?
  • Подвижность зуба связана именно с грануляцией, при которой надкостница понемногу рассасывается, это и является причиной подвижности зуба. При благоприятном и правильном лечении мы можем добиться укрепления зуба. Также хочу отметить, что все зависит от степени грануляции.
  • Спасибо большое за ответ. Мне говорили, что гранулема очень маленькая. То есть то, что он немного шатается ― норма сейчас? В данный момент в каналах лекарство, в августе уберут и запломбируют снова.
  • Это, конечно, нехорошо и не норма, но при воспалительных процессах такое случается. Все верно, через некоторое время необходимо провести анализ верхушки корня, если потребуется ― заменить лекарство, при благоприятном исходе ― запломбировать канал.
  • 10 апреля 2015, в 1:00 Проверенный отзыв
    Сегодня сделала рентген пазух, сказали, что все хорошо. Прицельный снимок 14,15 и 16 зуба есть, посмотрите, пожалуйста. Там над зубами большие чёрные пятна. Скажите, а на 26 зубе кисто-гранулема, врач не назначала снимков перед реставрацией и вкрутила штифт, а там уже была кисто-гранулема до пломбировки, она мне его сделала. А другая стоматолог сказала, что не надо его заново читать далее
    Комментарий №168802 Комментарий №168802
  • Претензии Вы можете выставить, но при наличии документального подтверждения лечения (чеки или квитанции, договор и гарантийный талон). В противном случае ― это бесполезно. На снимке я не вижу ярко выраженных симптомов грануляции. Затемнение в пазухах, вполне может быть наложением при снимке. Необходим нормальный снимок, либо прицел на физиографе, либо К/Т. После можно окончат читать далее
  • 8 апреля 2015, в 1:00 Проверенный отзыв

    У меня произвольно болят все зубы. Не могли бы вы взглянуть на мой снимок. Это панорама КТ. Там на 14 и 15 гранулемы зуба,15 мы со стоматологом пролечили, а за 14 она боится браться, так как он раскрошится и каналы узкие, а на 26 - кисто-гранулема уже. Притом она говорит, что после лечения гранулемы должно пройти время прежде, чем браться за лечение других гранулем. Скажите,

    читать далее
    Комментарий №168801
  • Гранулемы можно лечить хоть несколько штук одновременно, это никак не связано друг с другом, Ваш врач лукавит либо не знает. Антибиотики тут не помогают, лишь на время могут избавить Вас от боли. Обратитесь к более квалифицированному специалисту. Симптомы гайморита говорят о проросшей кисте в отделы пазух. Пропейте антибиотик Амоксиклав 625 по одной таблетке 5 дней и полоскай читать далее
  • 15 августа 2014, в 2:31 Проверенный отзыв
    Спасибо большое за ответ! Только мне до сих пор не ясно, все ли каналы зуба нужно перелечивать, или только тот , над которым проблема??? К какому врачу все таки обратиться?
  • Перелечивать необходимо все три канала, так как на двух остальных также имеется воспаление. Вам необходимо обратиться к терапевту с хорошими знаниями эндодонтии.

  • Спасибо еще раз, найти бы еще в нашем маленьком городе такого...
Вас консультируют