

















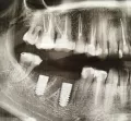
Имплант был установлен 3 месяца назад, когда установили формирователь десны, стало видно, что конструкция находится не посередине десны.
Это вообще нормальное явление?
Конечно, Вы верно заметили, имплант стоит не посередине альвеолярного гребня. Возможно, хирург ставил имплант в область максимального объема кости, чтобы избежать дополнительной подсадки кости. Это вынужденная мера и довольно частое явление - хирург вкручивает имплант, куда ему удобно и где больше шансов на приживление, а протезист затем разбирается со смещенным положением.
Могу Вас успокоить вот чем - самое главное, чтобы на рентген-снимке врач увидел хорошее приживление импланта, а судя по Вашей фотографии, коронку изготовить возможно, хотя и немного сложно, но стоять она должна нормально.
Стоматолог-имплантолог, скуловой имплантолог, хирург, челюстно-лицевой хирург
Стаж: 20 лет
Стоматолог-терапевт, детский стоматолог, пародонтолог, эндодонтист
Стаж: 23 года
Стоматолог-терапевт, детский стоматолог, ортодонт
Стаж: 14 лет