

















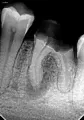
6-ка снизу слева начала беспокоить примерно полгода назад, появились ноющие болевые ощущения. Когда я обратилась к врачу, был сделан снимок. Врач сказал, что необходимо его депульпировать, так как обширная пломба очень близко располагается к нерву. Но вопрос стоял в том, что у меня установлены брекеты и не получится убрать полностью старую пломбу. Было принято решение сделать ванночки с содой, а если не пройдет, то вскрывать и удалять нерв. В итоге зуб прошел на второй день. Но через какое то время появился свищ. Зуб в данный момент не болит, при простукивании на осмотре нет никаких неприятных ощущений. Врач в свищ ввела гуттаперчу и сделала снимок, чтоб посмотреть, откуда свищ выходит. На снимке видно, что к корням.
Есть ли хоть какие-то шансы спасти данный зуб?
В периапикальных тканях зуба имеется обширное воспаление. Необходимо снять брекет и пролечить зуб, в противном случае деструктивный процесс будет прогрессировать.
Стоматолог-имплантолог, скуловой имплантолог, хирург, челюстно-лицевой хирург
Стаж: 20 лет
Стоматолог-терапевт, детский стоматолог, пародонтолог, эндодонтист
Стаж: 23 года
Стоматолог-терапевт, детский стоматолог, ортодонт
Стаж: 14 лет