🔥 Имплантация за 3750 ₽/мес.

После удаления зуба мудрости температура не проходит

Светлана27 октября 2014 г.

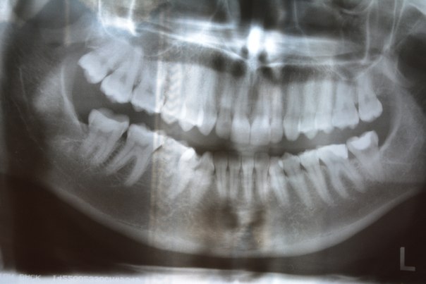
Здравствуйте! Около 5-ти лет назад мне удалили зуб мудрости. Процедура происходила следующим образом: разрезали десну, затем — разбивали зуб, вытащили его (он был нецелый), взяли с вены кровь, поставили ее в какой-то аппарат, чтобы она стала сгустком, положили этот сгусток на место зуба и зашили. Дело в том, что зуб рос неправильно, под наклоном, поэтому его пришлось удалять до того, как он прорезался. А кровь положили на его место, как мне объяснил стоматолог, для того, чтобы зажило быстрее и без проблем. У меня поднялась температура до 37,2, держалась больше месяца, я обратилась к стоматологу, он сказал, что всё в порядке и её причины не понимает. Я решила обратиться к терапевту: сдала общие анализы и посев крови, врач ничего не обнаружил. На этом хождения по врачам закончились, а температура держится уже 5 лет, но она не постоянно 37,2, может быть больше или немного меньше. Поначалу смерилась с тем, что ну может изменилась терморегуляция. Но спустя 3 года начала очень часто болеть, каждый месяц (тонзиллит, фарингит, ларингит). Мог ли врач занести какой-то вирус, бактерии, которые так ослабили иммунитет и так влияют на горло? Лор-врачи на тонзиллэктомию пока не решаются. Может мне нужно сдать дополнительные анализы? Само место (десна) после удаления зуба не тревожит абсолютно, покраснения нет. На данный момент никакие зубы не беспокоят, единственно, что на зубах камни. Недавно сдавала анализы на ВИЧ и СПИД, результаты отрицательные. Во вложении снимок челюсти, возможно, он чем-то поможет. Описанную процедуру удаления проводили с левой стороны. С правой стороны, под которой написана английская буква L, тоже удаляли, но самым обычным методом, после которого вообще не было температуры. Заранее благодарна за ответ!

Прикрепленые фото
Эксперт topdent
5.0
271 отзыв
Стоматолог-ортопед Стаж: 21 год

Если честно, не вижу смысла в данной процедуре (кровь , центрифуга и так далее), это совершенно не тот случай, банальное удаление восьмого, даже самого сложного зуба не требует данной процедуры в обязательном порядке. Действия доктора правильные и по снимку не вижу патологий. Постоянная температура никак не связана с удалением, но этот не норма. Рекомендую пройти комплексное обследование (легкие , щитовитку и так далее) на предмет воспаления. Постоянная температура говорит о хроническом воспалительном процессе.

Кандидат наук

Связанные услуги

  • 15 апреля 2019, в 8:35 Проверенный отзыв
    Мне в субботу с утра удалили зуб мудрости. Надрез десны делали, температура была, в тот же день и на следующий, со скачками. Особо ничего не болит, не очень беспокоит место удаления. Вот сегодня понедельник, а температура всё равно 37.2. Сколько дней может быть температура, когда это нормально?
  • Субфебрильная температура может сохраняться до 7 дней. Но вам следует обратиться к стоматологу-хирургу для исключения осложнений.
  • 8 марта 2018, в 16:01 Проверенный отзыв
    Вчера удалили 8-й зуб, довольно большая получилась рана, наложили несколько швов. До удаления зуба вскрыли гнойник в десне, после этого сразу удалили зуб. Температура в первый день после удаления была вечером 38. Утром на 2-й день температура 37 так держится до сих пор (сейчас полдень 2-го дня). Нужно ли пить антибиотики и что делать?
  • В течение 3-7 суток после удаления возможны болезненные ощущения, отечность в области удаленного зуба, повышение температуры, ухудшение самочувствия. Для снятия воспалительных процессов и болезненности можно принимать 3-5 дней Нимесил - 1 пакетик 2 раза в день или Ибупрофен - 1 таблетка 3 раза в день, а также антигистаминные препараты: Супрастин, Цетрин, Кларитин - 1 таблетка

    читать далее
Вас консультируют