

















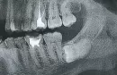
Недавно делал снимок (впервые за 36 лет). Оказалось, что обе нижние восьмерки лежат. Пока раздумываю, стоит ли их удалять или уже поздно. Однако насторожило то, что на снимке левой восьмерки не различимы корни, вместо них некое белое образование, едва ли не больше самой коронки.
Является ли это показанием к удалению? Не усложнит ли это и без того непростой процесс?
Это искажение снимка.
Удаляйте спокойно, ничего в этом страшного нет.
Стоматолог-имплантолог, скуловой имплантолог, хирург, челюстно-лицевой хирург
Стаж: 20 лет
Стоматолог-терапевт, детский стоматолог, пародонтолог, эндодонтист
Стаж: 23 года
Стоматолог-терапевт, детский стоматолог, ортодонт
Стаж: 14 лет