

















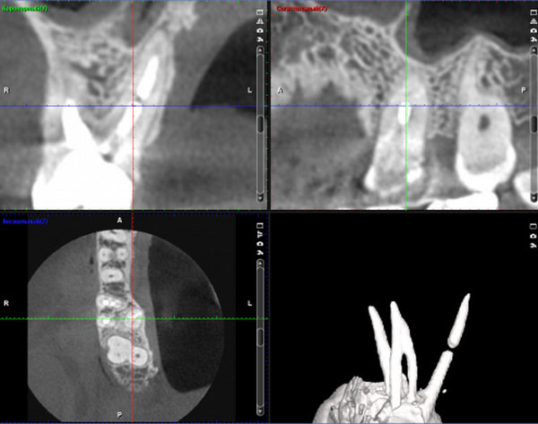
Лет пять назад ставил пломбу (вроде какая-то световая), но сейчас зуб, в который она вмонтирована, немного почернел (посинел) вдоль десны, у корня, и как бы изнутри.
Иногда чувствую боль, но несильную, проходит быстро. Дискомфорта особого не доставляет, но если есть боль, значит что-то не так? Почему зуб темнеет?
Потемнение зуба и беспокойство говорят о хроническом воспалении (периодонтит).
Обратитесь к врачу на очный прием, данное лечение проводится в несколько посещений.
Стоматолог-имплантолог, скуловой имплантолог, хирург, челюстно-лицевой хирург
Стаж: 20 лет
Стоматолог-терапевт, детский стоматолог, пародонтолог, эндодонтист
Стаж: 23 года
Стоматолог-терапевт, детский стоматолог, ортодонт
Стаж: 14 лет