

















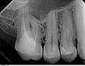
На верхней челюсти справа в районе зуба 6 образовалась небольшая припухлость, которая видна только со стороны щеки, при постукивании на сам зуб отдает болью, десна вокруг зуба не красная и не припухлая, воспаленной не выглядит, зуб залеченный.
Сделали снимок, врач, делавший снимок, направляет на удаление зуба по результатам снимка.
Возможно ли лечение этого зуба?
О возможности лечения или нет можно говорить только при наличии рентген-снимка.
Выложите его сюда на сайт либо запишитесь к нам на консультацию.
Стоматолог-имплантолог, скуловой имплантолог, хирург, челюстно-лицевой хирург
Стаж: 20 лет
Стоматолог-терапевт, детский стоматолог, пародонтолог, эндодонтист
Стаж: 23 года
Стоматолог-терапевт, детский стоматолог, ортодонт
Стаж: 14 лет