

















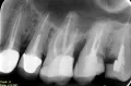
Лет 10 назад откололся кусок зуба, нерв не удаляли, поставили пломбу. Получилось, что половина зуба своего, половина пломба. Около года назад стало на этой стороне неудобно кушать — что то твердое попадало на зуб, потом все более и более это стало ощущаться. И вот недавно сверху откололся кусочек зуба, потом его стенка. Картина такая: стоит пломба, и половина зуба, от той половины. Я боюсь что остаток зуба держит именно пломба. Какие варианты лечения возможны? Какие последствия?
Это должно было случиться рано или поздно. Так как изначально лечение было некорректным.
Сегодня, как и в прошлый раз, необходимо установить культевую вкладку, а затем и коронку. А последствия могут быть печальными, если зуб скоблится ниже десны, то к сожалению, зуб придется удалить. Не теряйте время и срочно к врачу.
Стоматолог-имплантолог, скуловой имплантолог, хирург, челюстно-лицевой хирург
Стаж: 20 лет
Стоматолог-терапевт, детский стоматолог, пародонтолог, эндодонтист
Стаж: 23 года
Стоматолог-терапевт, детский стоматолог, ортодонт
Стаж: 14 лет