

















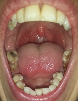
У моего мужа проблема. В нашем городе нет врача-пародонтолога. Помогите с консультацией, что делать? Суть проблемы: резко начала опускаться десна на передних нижних зубах, в течение двух месяцев 4 зуба выпало.
Обратились к стоматологу, отправил на анализы, есть отклонение в щитовидке, но незначительные. Стали делать съемные протезы.
Сейчас картина с опусканием десны начинает повторяться на передних верхних зубах, аналогичные симптомы.
Как ему помочь? Что нужно делать, чтобы сохранить зубы?
Возможно у Вашего мужа высокая степень пародонтоза. Данное заболевание не лечится, а медицина лишь способна притормозить процессы. Существует комплекс мероприятий по поддержанию состояния.
В любом случае, вам необходимо к пародонтологу. Обратитесь в соседние города, запишитесь на очный прием. По переписке и в домашних условиях вы не справитесь.
Стоматолог-имплантолог, скуловой имплантолог, хирург, челюстно-лицевой хирург
Стаж: 20 лет
Стоматолог-терапевт, детский стоматолог, пародонтолог, эндодонтист
Стаж: 23 года
Стоматолог-терапевт, детский стоматолог, ортодонт
Стаж: 14 лет