

















Около трех недель назад производили восстановление зуба на штифте, чистили и пломбировали каналы. До настоящего момента все было хорошо, однако два дня назад десна этого зуба сильно вздулась, приблизительно размером с горошину. Не болит, при надавливании тоже, однако во рту появляется привкус пасты, которой пломбировали канал.
Главная проблема в том, что я сейчас нахожусь в командировке в стране третьего мира, и за квалифицированной помощью обратиться не могу. Подскажите, как можно снять отек и пережить неделю до визита к врачу.
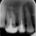
У Вас, скорее всего, воспаление, связанное с некачественным лечением каналов и, похоже, вывод силера за верхушку корня зуба.
Временно снять воспаление можно обильным полосканием следующим раствором: соль, сода и 5-6 капель йода на 200 гр теплой воды. По приезду обратитесь к врачу, даже если отек сойдет.
Стоматолог-имплантолог, скуловой имплантолог, хирург, челюстно-лицевой хирург
Стаж: 20 лет
Стоматолог-терапевт, детский стоматолог, пародонтолог, эндодонтист
Стаж: 23 года
Стоматолог-терапевт, детский стоматолог, ортодонт
Стаж: 14 лет