

















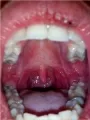
У меня такой вопрос: в верхнем ряду напухла десна, недавно была на проф. осмотре у стоматолога, он смотрел полость рта, но ничего не сказал. А зуб самый последний, похоже 8. Сама спросить как-то побоялась.
Как мне быть, снова идти спрашивать, или можно как-то пополоскать?
Полоскать Вы, конечно, можете, но это не лечение. Отёчность говорит о воспалительном процессе, и без врача Вам не справиться.
Стоматолог-имплантолог, скуловой имплантолог, хирург, челюстно-лицевой хирург
Стаж: 20 лет
Стоматолог-терапевт, детский стоматолог, пародонтолог, эндодонтист
Стаж: 23 года
Стоматолог-терапевт, детский стоматолог, ортодонт
Стаж: 14 лет