

















Подскажите, пожалуйста, насколько запущена должна быть киста, чтобы она привела к потере зуба?
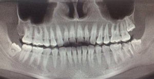
У меня под нижней семеркой киста, врач сказал, "и хорошая такая", сбоку образовался карман. Шестерка удалена в январе этого года, восьмерка не прорезалась. Зуб слегка подвижен, но он меня довольно редко беспокоит, это и была причина откладывания визитов к стоматологу. Не болит, изредка, при жевании дает о себе знать. Но хирург сказал - зуб на удаление, надо импланты ставить. Я читала, что есть способы лечить кисту и вполне успешно.
Есть ли смысл мне показаться другому врачу или зуб, все-таки не спасти?
Если зуб подвижен и врач действительно диагностировал кисту или обширное воспаление, то, к сожалению, зуб удаляется. Лечению поддается киста-гранулема в стадии начального образования, и при этом зуб должен быть устойчив, и при этом на данную манипуляцию в принципе не распространяется гарантия. Удаляйте зуб и через три месяца устанавливайте имплантат.
Стоматолог-имплантолог, скуловой имплантолог, хирург, челюстно-лицевой хирург
Стаж: 20 лет
Стоматолог-терапевт, детский стоматолог, пародонтолог, эндодонтист
Стаж: 23 года
Стоматолог-терапевт, детский стоматолог, ортодонт
Стаж: 14 лет