

















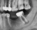
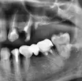
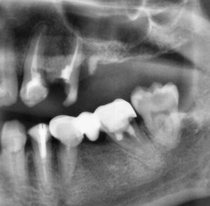
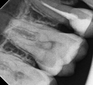
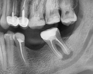
Отвалилась старая пломба, которую ставили девять лет назад. Пришел к стоматологу, она осмотрев сказала, что надо зачистить и заново запломбировать. Начав процедуру чистки, она попробовала пошатать зуб, потом сказала, что нужно сделать снимок. Снимок сделали, ее вердикт — надо удалять зуб, поскольку пошло воспаление вокруг корней, если его лечить со штифтами или еще как, через некоторое время он снова даст о себе знать и все равно придется удалить.
Есть ли смысл обратиться к другому специалисту? Или поверить и удалить?
Смысл конечно всегда есть, но если диагноз доктора подтвердится (воспаление на корнях), то скорее всего зуб придётся удалить.
Стоматолог-имплантолог, скуловой имплантолог, хирург, челюстно-лицевой хирург
Стаж: 20 лет
Стоматолог-терапевт, детский стоматолог, пародонтолог, эндодонтист
Стаж: 23 года
Стоматолог-терапевт, детский стоматолог, ортодонт
Стаж: 14 лет