🔥 Имплантация за 3750 ₽/мес.

Нужно ли удалять зубы с гранулемами до беременности?

Алла25 мая 2016 г.

Помогите, пожалуйста, принять верное решение. В декабре 2015 года на 6-й неделе беременности у меня «прорвала» киста в 7-м нижнем зубе, после 2-х недель мучений ни зуб, ни беременность врачам сохранить не удалось.

Год мне лечили гранулему в соседнем 6-м зубе. В итоге, когда я пришла ставить коронку на пролеченный зуб, мне сказал доктор, что из-за сильной стираемости зубов мне нужно делать встречное протезирование (минимум 16 зубов), предварительно 1,5 – 2 года походить в брекетах. Но после КТ выяснилось, что гранулемы есть ещё под тремя зубами, что есть перфорация корня зуба. Мне предлагают удалить 3 зуба (2-х у меня уже нет).

Я планирую беременность, и меня пугают, что все может обостриться и нанести вред. Я не знаю, как поступить. Насколько опасны гранулемы и вероятен риск их обострения? И как быть с повышенной стираемостью зубов? 

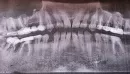
Прикрепленые фото
Эксперт topdent
5.0
273 отзыва
Стоматолог-ортопед Стаж: 21 год

Действительно, мы имеем много проблем в полости рта, и беременность в такой ситуации повлечёт обострения и негативное лечение на всем сроке. Грануляция или киста — это воспалительный процесс, который имеет свойства обостряться, как правило, при сниженном иммунитете, простуде и так далее. Также стираемость зубов говорит о необходимости протезирования.

Приезжайте ко мне, я Вас осмотрю, исключительно по снимку сложно поставить однозначный диагноз.

Прежде чем беременеть, необходимо абсолютно все пролечить, в противном случае Вы однозначно будете заниматься лечением на сроке беременности, что повлияет на будущее здоровье ребёнка.

Кандидат наук

Связанные услуги

Статьи по теме

Пока нет комментариев
Вас консультируют