

















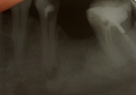
У меня воспалилась нижняя десна, и надулась шишка между языком и десной. После семидневного лечения антибиотиками шишка уменьшилась, но при пальпации десна болит. Сегодня после рентгена врач вынес вердикт об удалении седьмого и восьмого зубов из-за наличия гнойных мешков на корнях. Но болит у меня десна не под этими зубами, а под тем местом, где раньше у меня был шестой зуб. И боль при прощупывании возникает и глубоко под языком. Правда восьмой зуб во время еды болит.
Откуда боль в стороне от восьмого зуба? Может ли он давать такие ощущения и поможет ли удаление зубов от дальнейшего распространения инфекции? Или у меня уже она пошла дальше под язык? Я просто боюсь пропустить этот момент.
Если под седьмым и восьмым зубами в надкостнице или, правильнее сказать, на верхушках имеется киста (гной), то, естественно, эти зубы подлежат удалению и являются причиной беспокойства. Также воспалительный процесс может распространяться по надкостнице. Обратитесь к альтернативному мнению хирурга и, если диагноз подтвердится, то следуйте рекомендациям.
Стоматолог-имплантолог, скуловой имплантолог, хирург, челюстно-лицевой хирург
Стаж: 20 лет
Стоматолог-терапевт, детский стоматолог, пародонтолог, эндодонтист
Стаж: 23 года
Стоматолог-терапевт, детский стоматолог, ортодонт
Стаж: 14 лет