

















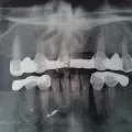
Добрый день. Хотелось узнать про передний зуб. Удаляли нерв года 3 назад, но практически все время реагирует на горячее и холодное и тд. А в апреле сильно опухла десна. Сейчас была у стоматолога сделали снимок сказали, что киста. Подскажите хирургическим ли методом ее надо удалять. Заранее спасибо.
Добрый день, уважаемая Наталья! Судя по снимку, мы имеем очень большую резекцию костной ткани вокруг этого зуба. Эндодонтическим методом такого рода кисту уже вряд ли можно вылечить. Да и резекция судя по снимку не спасет зуб. Я имею ввиду то, что кости и так мало и после резекции, а она подразумевает отсечение инфицированного корня, в кости останется 2-3 мм корня, что недопустимо и достаточной фиксации зуба в кости не будет. Возможно на снимке наложение и мы ошибаемся, поэтому настоятельно рекомендую приехать ко мне на осмотр для принятия решения. Всего вам доброго!
Стоматолог-имплантолог, скуловой имплантолог, хирург, челюстно-лицевой хирург
Стаж: 20 лет
Стоматолог-терапевт, детский стоматолог, пародонтолог, эндодонтист
Стаж: 23 года
Стоматолог-терапевт, детский стоматолог, ортодонт
Стаж: 14 лет