

















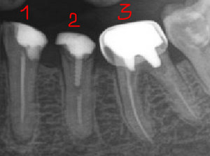
Скажите, пожалуйста, необходимо ли перелечивать зуб перед установкой коронки. На нем стоит 3-летняя пломба. Зуб не беспокоил. Сделали снимок, врач сказал перелечивать нет необходимости. Но меня все равно мучают сомнения.
Если при просмотре рентген-снимка пломбировка канала смотрится как нормальная, изменений на верхушке корня нет, то перепломбировывать не надо. Любое вмешательство увеличивает риски, проще говоря, можно сделать хуже.
Другая ситуация, если на снимке выявлены пустоты, не до конца запломбированные каналы, есть разрежения, изменения на верхушке корня, либо зуб ранее побаливал при надавливании, накусывании, слегда поднывал, например при изменении погоды и т.д. В таких случаях лучше зуб перелечить, чтобы избежать проблем с будущей коронкой.
Стоматолог-имплантолог, скуловой имплантолог, хирург, челюстно-лицевой хирург
Стаж: 20 лет
Стоматолог-терапевт, детский стоматолог, пародонтолог, эндодонтист
Стаж: 23 года
Стоматолог-терапевт, детский стоматолог, ортодонт
Стаж: 14 лет