

















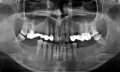
Началась боль на следующий день после установки протеза, перед установкой было проведено лечение всех зубов, нервы удалены. Стоматолог говорит о какой-то гиперчувствительности и никакого решения не предложил.
Подскажите, пожалуйста, что делать, если возникает постоянная ноющая боль под металлокерамическими мостами?
Ваш стоматолог не прав, он или лукавит, или не имеет должной квалификации, о какой гиперчувствительности идет речь? Бред! Боль после нагрузки зуба коронкой означает некачественное лечение и неправильную постановку диагноза, то есть зубы пролечены неверно, на верхушках имеются воспаления. Вам придется извлечь коронки, правильно и грамотно пролечить зубы, и только после можно протезировать. Уважаемая Евгения, пока все горячо и не прошли гарантийные сроки, рекомендую расторгнуть договор с клиникой и найти альтернативного доктора.
Стоматолог-имплантолог, скуловой имплантолог, хирург, челюстно-лицевой хирург
Стаж: 20 лет
Стоматолог-терапевт, детский стоматолог, пародонтолог, эндодонтист
Стаж: 23 года
Стоматолог-терапевт, детский стоматолог, ортодонт
Стаж: 14 лет