

















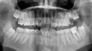
На протяжении трёх дней беспокоила несильная ноющая боль с правой стороны внизу. Сделали снимок, врач предположил, что боль возникает из-за зуба мудрости, который ещё не прорезался. И сразу записала на удаление.
Не знаю, можно ли что-то понять по приложенному снимку, но сколько примерно занимает удаление такого зуба и обязательно ли это?
Однозначно, причина беспокойств — это неправильно расположенная восьмёрка. Удаление необходимо, в противном случае мы получим скученность всего зубного ряда и потеряем седьмой зуб. Удаление сложное и требует профессионализма и опыта. Потребуется моя помощь — запишитесь к нам на приём к челюстно-лицевому хирургу.
Стоматолог-имплантолог, скуловой имплантолог, хирург, челюстно-лицевой хирург
Стаж: 20 лет
Стоматолог-терапевт, детский стоматолог, пародонтолог, эндодонтист
Стаж: 23 года
Стоматолог-терапевт, детский стоматолог, ортодонт
Стаж: 14 лет