

















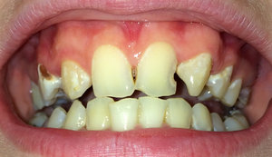
У меня проблема с зубами, лечу зубы, а они все равно крошатся, пломбы держатся не больше года.
Подскажите, что делать с зубами? Может протезировать, то какой вид протезирования подойдет?
Финансовое положение среднее, поэтому хотелось бы, чтобы и этот фактор учитывался. Мне 28 лет, а я лишний раз не могу рот открыть. Помогите советом.
Судя по тому, что Вам делают (сужу по фото), немудрено, что у Вас все сыпется. Более рационально в Вашем случае, конечно, протезироваться, так как большая часть зубов состоит из пломб.
Запишитесь ко мне на прием, и я Вам предложу наиболее недорогой и в тоже время рациональный метод протезирования.
Стоматолог-имплантолог, скуловой имплантолог, хирург, челюстно-лицевой хирург
Стаж: 20 лет
Стоматолог-терапевт, детский стоматолог, пародонтолог, эндодонтист
Стаж: 23 года
Стоматолог-терапевт, детский стоматолог, ортодонт
Стаж: 14 лет