

















Здравствуйте! У меня не правильно растёт зуб мудрости, врач сказал нужно удалять зуб, но зуб ещё не появился и там набухшее. Не может ли этот зуб искривить другие,т.к врач сказал подождать пока не вылезет. Т.к. сейчас сложно будет его убрать. Предлагал сделать надрез, чтобы меньше болело и быстрее появился.
Дополнение к вопросу:
В некоторых случаях такие зубы необходимо удалять в зачатке, так как их неправильный рост создает много проблем соседнему зубу и автоматически всему зубному ряду.
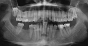
Мне необходим снимок для точного анализа и рекомендации для последующих действий.
Всего вам доброго!
Ваш доктор совершенно не прав, зуб необходимо удалить и как можно раньше, так как на контакте с семеркой наблюдается небольшое воспаление. Обратитесь к хирургу на удаление данного зуба, хочу отметить, что хирург должен быть другим (не тот кто рекомендовал подождать) и с навыками удаления данных зубов, чтобы избежать нежелательных последствий.
Если возникнут проблемы с доктором то обращайтесь я вам помогу.
Всего вам доброго!
Стоматолог-имплантолог, скуловой имплантолог, хирург, челюстно-лицевой хирург
Стаж: 20 лет
Стоматолог-терапевт, детский стоматолог, пародонтолог, эндодонтист
Стаж: 23 года
Стоматолог-терапевт, детский стоматолог, ортодонт
Стаж: 14 лет