

















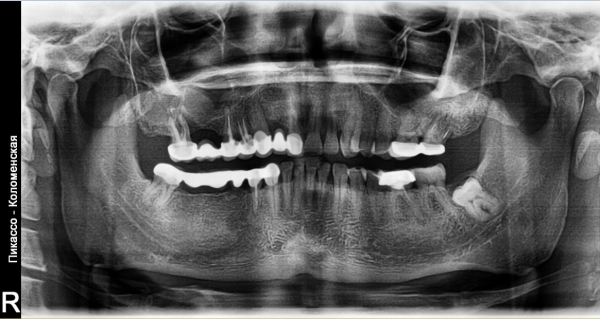
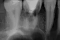
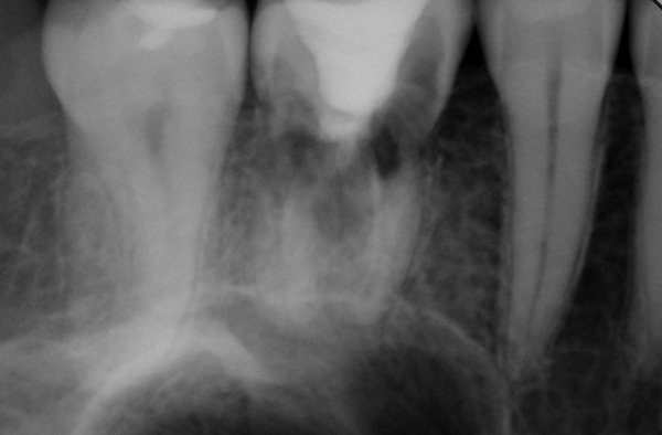
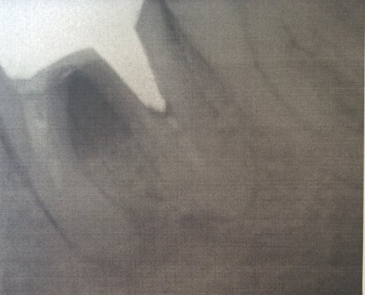
Добрый день. Мне в стоматологии сделали снимок зуба и сказали, что зуб надо удалять, так как вылечить не получится. Подскажите, так ли это? Может стоит обратиться к другим врачам? (фото зуба выслала на e-mail). Зуб № 46. На данный момент зуб не беспокоит. Три месяца назад был флюс, после разреза всё прошло. Антибиотиками не лечила, так как беременность. Сейчас срок 17 недель. Спасибо!
Да, к сожалению зуб необходимо удалить, так как на верхушках всех корней наблюдается обширное воспаление.
Стоматолог-имплантолог, скуловой имплантолог, хирург, челюстно-лицевой хирург
Стаж: 20 лет
Стоматолог-терапевт, детский стоматолог, пародонтолог, эндодонтист
Стаж: 23 года
Стоматолог-терапевт, детский стоматолог, ортодонт
Стаж: 14 лет