

















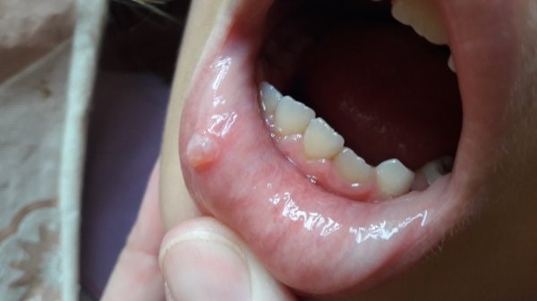
Периодически на слизистой нижней губы возникает волдырь, который лопается, образуется корочка. Через день-два корочка отпадает, и вновь образуется волдырь. И всё сначала. Перепробовала все: мазь календула, ацикловир, актовегин — ничего не помогает.
Участковый врач поставила диагноз глоссалгия. Гипосаливация? Так что же это?
Это заболевание слизистой. Врач должен был назначить курс лечения. Придерживайтесь рекомендаций.
Стоматолог-имплантолог, скуловой имплантолог, хирург, челюстно-лицевой хирург
Стаж: 20 лет
Стоматолог-терапевт, детский стоматолог, пародонтолог, эндодонтист
Стаж: 23 года
Стоматолог-терапевт, детский стоматолог, ортодонт
Стаж: 14 лет