

















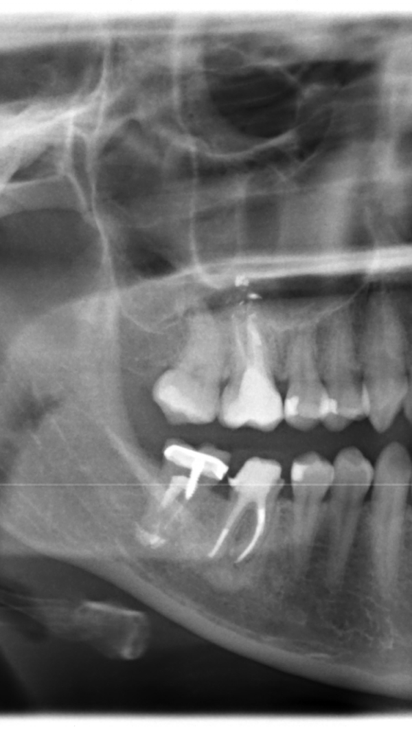
Имеется 7-й нижний зуб справа. Каналы пролечены 25 лет назад, возможно, резорциновым методом, и никогда не перелечивались. На зубе стояла сначала металлическая коронка, затем металлокерамика и керамика. Пару дней назад зуб отломился вместе с коронкой и штифтом под самый корень.
По возможности зуб хотелось бы сохранить. Ортопед предлагает закрыть зуб вкладкой и коронкой без перелечивания каналов.
Стоит ли согласиться, или попытаться сначала перелечить каналы?
По данным снимкам, в периапикальной области (в области верхушки корня зуба) имеется скопление пломбировочного материала. Удивительно, что данный зуб прослужил 25 лет. Скорее всего, данный зуб запломбирован резорцин формалиновой пастой. После такого метода лечения каналов перелечивание каналов невозможно.
Если врачу удастся распломбировать канал для установки штифтовой конструкции, то, возможно, стоит согласиться на культевую штифтовую вкладку и коронку. Тем более, если зуб не беспокоит болезненными ощущениями.
Стоматолог-имплантолог, скуловой имплантолог, хирург, челюстно-лицевой хирург
Стаж: 20 лет
Стоматолог-терапевт, детский стоматолог, пародонтолог, эндодонтист
Стаж: 23 года
Стоматолог-терапевт, детский стоматолог, ортодонт
Стаж: 14 лет