

















В детстве ровняли неправильный прикус, не доровняли в силу неких обстоятельств, остался кривой передний зуб. Мне сейчас 20 и хотелось бы как-то его таки выровнять, но из-за специальности не могу поставить брекеты.
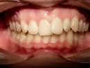
Есть ли шанс выровнять его каким-то другим способом? Зуб как на этом фото.
В Вашем случае самый правильный и наиболее консервативный метод, естественно, ортодонтический, то есть лечение на брекет-системах. Как альтернатива — только протезирование коронкой и желательно циркониевой. Для этого необходимо зуб депульпировать (удалить нервы).
Запишитесь к нам на прием, и мы все сделаем в лучшем виде.
Стоматолог-имплантолог, скуловой имплантолог, хирург, челюстно-лицевой хирург
Стаж: 20 лет
Стоматолог-терапевт, детский стоматолог, пародонтолог, эндодонтист
Стаж: 23 года
Стоматолог-терапевт, детский стоматолог, ортодонт
Стаж: 14 лет