

















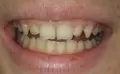
Мне 24 года. У меня был клык. Он вырос не своем ряду. Денег на брекеты в 13 лет не было, и мне его выдрали. У меня сейчас улыбка перекошена набок. То есть если я очень "сильно" смеяться, видно, что улыбка не идеальна. Со вторым клыком тоже были проблемы, он был как у вампира, когда его сделали "красивым" удалили нерв. Там пломба под цвет своих зубов. У меня сейчас есть деньги, чтобы поставить брекеты.
Что делать, чтобы выровнять ряд и красиво всё было и быстрее:
Вам необходимо обратиться к ортодонту на приём, и после осмотра, снимков и оттисков вам дадут вразумительный ответ.
Стоматолог-имплантолог, скуловой имплантолог, хирург, челюстно-лицевой хирург
Стаж: 20 лет
Стоматолог-терапевт, детский стоматолог, пародонтолог, эндодонтист
Стаж: 23 года
Стоматолог-терапевт, детский стоматолог, ортодонт
Стаж: 14 лет