

















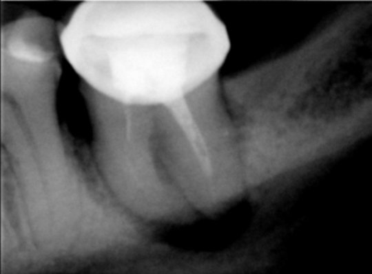
Установлена киста шестого зуба. Указанный зуб пломбировался два года назад.
Подскажите, пожалуйста, можно ли утверждать, что причиной образования кисты стало направильное лечение? Будет ли результат от лечения лазером? И что посоветовали бы вы в данном случае? К/Т зуба:
Причина очевидна, некачественное лечение каналов, да его в принципе нет. Конечно причина кисты именно в этом.
Стоматолог-имплантолог, скуловой имплантолог, хирург, челюстно-лицевой хирург
Стаж: 20 лет
Стоматолог-терапевт, детский стоматолог, пародонтолог, эндодонтист
Стаж: 23 года
Стоматолог-терапевт, детский стоматолог, ортодонт
Стаж: 14 лет